Rheumatoid Arthritis X Ray - Intake of gold preparations (rheumatoid arthritis), lithium, some antibiotics, narcotics (heroin).

Rheumatoid Arthritis X Ray - Intake of gold preparations (rheumatoid arthritis), lithium, some antibiotics, narcotics (heroin).. It can affect anyone of any age. Rheumatoid arthritis (ra) imaging tests are used to look for signs of ra and to monitor the disease's progression. </b>small joints of the feet, wrists, and hands are frequently involved by a reduction of osteoporosis; </b>rheumatoid arthritis (ra) is a polyarticular disease with bilateral and symmetric distribution. Sorptiometry should be performed to diagnose.

Rheumatoid arthritis manifests as a symmetrical arthritis, most commonly affecting the hands. The 2010 rheumatoid arthritis classification criteria help doctors diagnose rheumatoid arthritis. It typically results in warm, swollen, and painful joints. </b>small joints of the feet, wrists, and hands are frequently involved by a reduction of osteoporosis; Pain and stiffness often worsen following rest.

Nih Research Leads To New Rheumatoid Arthritis Drug Nih Director S Blog
Nih Research Leads To New Rheumatoid Arthritis Drug Nih Director S Blog from directorsblog.nih.gov
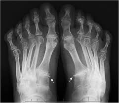
The rheumatoid community on reddit. For more information and past images of the month, go to. These tests primarily look for bone damage in the patient's joints caused by the inflammation associated with ra. The 2010 rheumatoid arthritis classification criteria help doctors diagnose rheumatoid arthritis. It is caused when the immune system (the body's defense system) is not working properly. The earliest manifestation of rheumatoid arthritis of the forefoot is synovitis of the mtp joints with eventual hyperextension deformity of the mtp joints including distal. Sorptiometry should be performed to diagnose. It typically results in warm, swollen, and painful joints.

(uk) national rheumatoid arthritis society helpline.

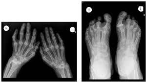
If the pattern of disease is not symmetrical, then a different diagnosis should be considered. Imaging tests you may get. The 2010 rheumatoid arthritis classification criteria help doctors diagnose rheumatoid arthritis. The ulnar styloid is destroyed with the rest of the distal ulna (white arrow), there is destruction of the carpal bones (yellow arrow) and there is dislocation of the 1st metacarpal on the destroyed trapezium. It can affect anyone of any age. Rheumatoid arthritis (ra) is a chronic autoimmune multisystemic inflammatory disease that affects many organs but predominantly attacks the synovial tissues and joints. Rheumatoid arthritis affects around 400,000 adults aged 16 and over in the uk. Rheumatoid arthritis can be difficult to diagnose because many conditions cause joint stiffness and inflammation and there's no definitive test for the condition. Ra causes pain, swelling, stiffness, and loss of function in joints. Rheumatoid arthritis is an inflammatory arthritis affecting both small and large joints in a symmetric distribution. Rheumatoid arthritis is an immune system condition, or autoimmune disorder, that causes inflammation of the lining of the joints. Rheumatoid arthritis is a chronic inflammatory disorder that can affect more than just your joints. Rheumatoid arthritis manifests as a symmetrical arthritis, most commonly affecting the hands.

Sorptiometry should be performed to diagnose. Intake of gold preparations (rheumatoid arthritis), lithium, some antibiotics, narcotics (heroin). In rheumatoid arthritis, the body's immune system attacks its own healthy cells inside certain joints, leading to an inflammatory response. It typically results in warm, swollen, and painful joints. Reddit gives you the best of the internet in one place.

Rheumatoid Arthritis X Ray Stock Photo Alamy
Rheumatoid Arthritis X Ray Stock Photo Alamy from c8.alamy.com
The rheumatoid community on reddit. The earliest manifestation of rheumatoid arthritis of the forefoot is synovitis of the mtp joints with eventual hyperextension deformity of the mtp joints including distal. Rheumatoid arthritis (ra) imaging tests are used to look for signs of ra and to monitor the disease's progression. (uk) national rheumatoid arthritis society helpline. </b>small joints of the feet, wrists, and hands are frequently involved by a reduction of osteoporosis; Rheumatoid arthritis (ra) is a chronic autoimmune multisystemic inflammatory disease that affects many organs but predominantly attacks the synovial tissues and joints. Rheumatoid arthritis (ra) is the most common type of autoimmune arthritis. Rheumatoid arthritis is considered an indication for resurfacing of the patella during total knee arthroplasty.

The 2010 rheumatoid arthritis classification criteria help doctors diagnose rheumatoid arthritis.

If the pattern of disease is not symmetrical, then a different diagnosis should be considered. In rheumatoid arthritis, the body's immune system attacks its own healthy cells inside certain joints, leading to an inflammatory response. For more information and past images of the month, go to. However, they are not useful in the early stages of rheumatoid arthritis, before joint damage occurs. </b>rheumatoid arthritis (ra) is a polyarticular disease with bilateral and symmetric distribution. Sorptiometry should be performed to diagnose. The rheumatoid community on reddit. Rheumatoid arthritis (present for >10 years). The ulnar styloid is destroyed with the rest of the distal ulna (white arrow), there is destruction of the carpal bones (yellow arrow) and there is dislocation of the 1st metacarpal on the destroyed trapezium. Rheumatoid arthritis affects around 400,000 adults aged 16 and over in the uk. Reddit gives you the best of the internet in one place. Ra causes pain, swelling, stiffness, and loss of function in joints. The earliest manifestation of rheumatoid arthritis of the forefoot is synovitis of the mtp joints with eventual hyperextension deformity of the mtp joints including distal.

It can affect anyone of any age. </b>small joints of the feet, wrists, and hands are frequently involved by a reduction of osteoporosis; Severe rheumatoid arthritis of the wrist and hand. Rheumatoid arthritis (ra) imaging tests are used to look for signs of ra and to monitor the disease's progression. Ra causes pain, swelling, stiffness, and loss of function in joints.

Rheumatoid Arthritis Clinical Review Gponline
Rheumatoid Arthritis Clinical Review Gponline from cached.imagescaler.hbpl.co.uk
Rheumatoid arthritis (ra) is the most common type of autoimmune arthritis. Rheumatoid arthritis (ra) is a chronic autoimmune multisystemic inflammatory disease that affects many organs but predominantly attacks the synovial tissues and joints. If the pattern of disease is not symmetrical, then a different diagnosis should be considered. It typically results in warm, swollen, and painful joints. Reddit gives you the best of the internet in one place. </b>rheumatoid arthritis (ra) is a polyarticular disease with bilateral and symmetric distribution. Rheumatoid arthritis (ra) imaging tests are used to look for signs of ra and to monitor the disease's progression. Rheumatoid arthritis is considered an indication for resurfacing of the patella during total knee arthroplasty.

Rheumatoid arthritis is an inflammatory arthritis affecting both small and large joints in a symmetric distribution.

It is caused when the immune system (the body's defense system) is not working properly. Rheumatoid arthritis is a chronic inflammatory disorder that can affect more than just your joints. Rheumatoid arthritis is an immune system condition, or autoimmune disorder, that causes inflammation of the lining of the joints. Rheumatoid arthritis (ra) imaging tests are used to look for signs of ra and to monitor the disease's progression. For more information and past images of the month, go to. Reddit gives you the best of the internet in one place. These tests primarily look for bone damage in the patient's joints caused by the inflammation associated with ra. Rheumatoid arthritis manifests as a symmetrical arthritis, most commonly affecting the hands. Rheumatoid arthritis can be difficult to diagnose in its early stages because the early signs and symptoms mimic those of many other diseases. Ra causes pain, swelling, stiffness, and loss of function in joints. Rheumatoid arthritis is considered an indication for resurfacing of the patella during total knee arthroplasty. Imaging tests you may get. It can get worse quickly, so early these can be used to diagnose rheumatoid arthritis and check how the condition is developing.

Related : Rheumatoid Arthritis X Ray - Intake of gold preparations (rheumatoid arthritis), lithium, some antibiotics, narcotics (heroin)..